Sorriso bonito não é exagero
é harmonia, proporção e naturalidade.

Transforme seu Sorriso com Naturalidade e Harmonia
Facetas, Lentes de Contato e Clareamento Dental com precisão e cuidado individual.
é harmonia, proporção e naturalidade.
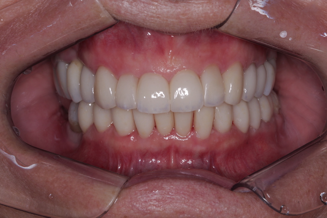
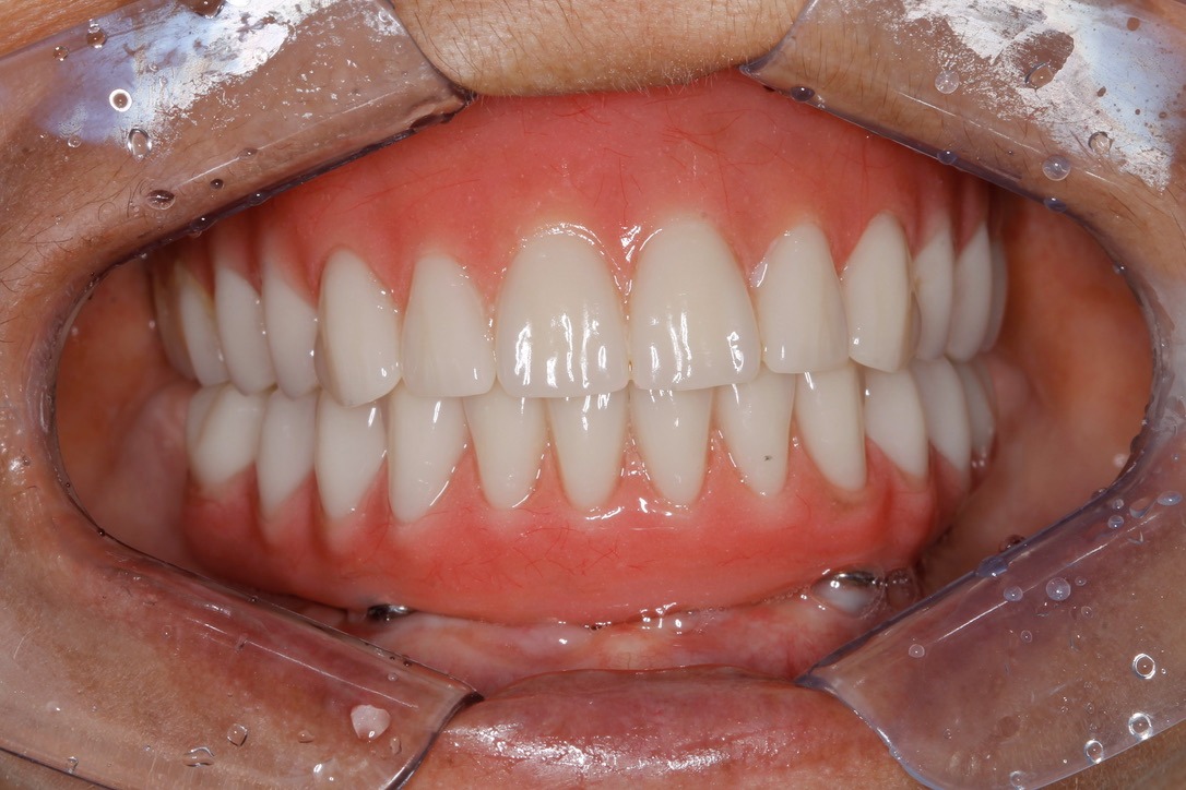
O sorriso é uma das expressões mais genuínas da nossa identidade. Através das Facetas, Lentes de Contato Dental e Clareamento, transformamos forma, cor e luminosidade dos dentes, buscando sempre a naturalidade como essência. Cada sorriso é planejado de maneira única, respeitando proporções faciais, personalidade e estética individual. Nosso objetivo é revelar a sua melhor versão — com leveza, harmonia e precisão.
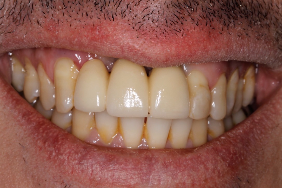
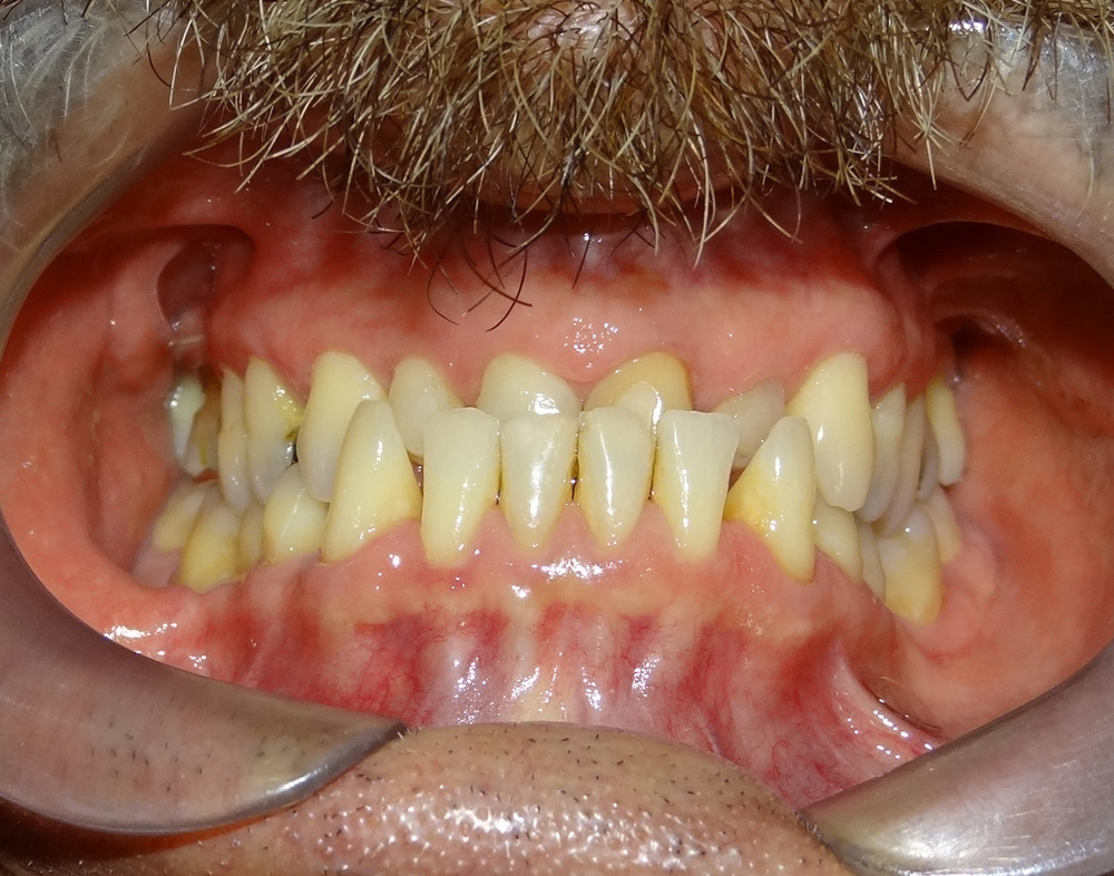
Não. As facetas corrigem forma, proporção, cor e alinhamento, podendo exigir um leve preparo. Já as lentes de contato dental são ultrafinas e indicadas para ajustes naturais, com mínimo ou nenhum desgaste. A escolha depende de uma avaliação personalizada.
Sim. Nosso objetivo é realçar a beleza natural do seu sorriso, respeitando proporção facial, formato dos dentes e sua personalidade estética. Não criamos sorrisos iguais — criamos o seu.
Quando bem cuidadas, facetas e lentes possuem excelente durabilidade. A longevidade depende da técnica, materiais, profissional e manutenção preventiva.
Trabalhamos com protocolos seguros e personalizados. Ajustamos a técnica para reduzir sensibilidade, mantendo um resultado natural, saudável e luminoso.
Sim. Na verdade, é uma combinação muito comum. Primeiro clareamos, depois definimos o tom e forma ideal das facetas para harmonia total do sorriso.








Atendimento exclusivo via WhatsApp. Envie sua mensagem e nossa equipe cuidará de todos os detalhes para agendar o melhor horário.
Q. 602 Sul, Av. LO‑15 — Plano Diretor Sul, Palmas‑TO

Especialista em reabilitação oral, implantodontia e periodontia, com trajetória marcada por inovação e precisão clínica. Lidera a Implantcenter com a visão de que o melhor resultado é aquele que parece natural e permanece.
de experiência
de sorrisos reabilitados
contínua